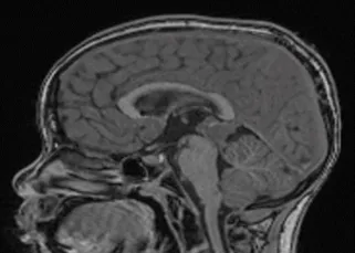
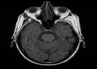
Clinical Studies Guerbet Clinical Studies Clinical Case Studies as seen in Applied Radiology Neurological and Orbital Involvement of Systemic IgG4-related Sclerosing Disease DOWNLOAD Atypical Teratoid Rhabdoid Tumor of the Oculomotor Nerve DOWNLOAD Pediatric Pineoblastoma DOWNLOAD